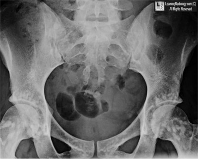
What is the most likely diagnosis?
- 37 year-old female with abdominal pain
- Osteoblastic breast metastases
- Dermoid of the ovary
- Osteopoikilosis
- Pelvic fracture
- Multiple myeloma
Additional Images - Axial CT scan of the pelvis
| Recognizing | ||||
| A Technically | ||||
| Adequate Chest X-ray | ||||
| ||||||||||||||||||||||||||||||||||||||||||||||||
| ||||||||||||||||||||||||||||||||||||||||||||||||
| You should be able to | |||
| just see the thoracic | |||
| spine through the | |||
| heart. | |||

No comments:
Post a Comment